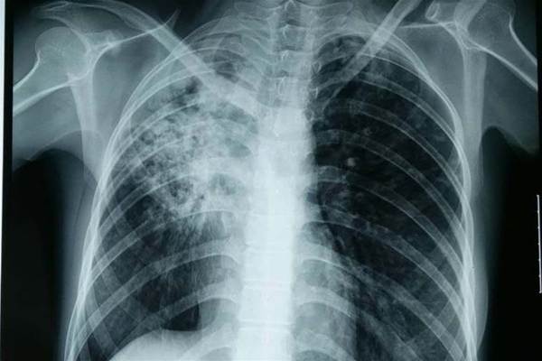
大马肺结核(TB)疫情拉响警报!卫生部长拿督斯里祖基菲里透露,截至今年2月7日,全国已有7个州属相继爆发共10个新的结核病感染群。其中,柔佛州的情况最令人担忧,不仅出现单一群组高达37宗病例的记录,更因一名确诊的72岁老妇,导致多达903人被列为密切接触者!

根据卫生部的最新数据,雪兰莪州是目前感染群“密度”最高的地区,共有4个新感染群;柔佛、吉打、吉兰丹、彭亨、玻璃市及沙巴则各占一个。祖基菲里今日在国会回答议员提议时解释,所谓的“感染群”意味着病例之间存在相同的传播链,一旦发现“指数病例”(首宗确诊),当局必须顺藤摸瓜进行大规模筛查,防止病毒在社区暗暗扎根。
为了围堵疫情,卫生部已锁定寄宿学校及监狱等高风险机构,严格执行2018年结核病信息系统手册的筛查流程。部长提醒,若民众出现长期咳嗽、反复发热、食欲减退或体重不明下降等症状,务必提高警惕。
针对预防工作,部长也大派定心丸,强调大马儿童的疫苗接种率(BCG)极高,过去四年均维持在99%的目标水平,群体免疫屏障依然稳固。
随着国内在短短时间内激增10个感染群,医学专家发出紧急呼吁,提醒民众在来临的佳节出行与回乡高峰期,务必升级个人防疫措施,严防这一“潜伏杀手”在社区大规模扩散。
马来亚大学流行病学与公共卫生专家拉夫扎教授直言,结核病其实一直潜伏在民众周围,其长达数周甚至数月的潜伏期最易让人掉以轻心。他强烈建议,计划搭乘公共交通工具或参与聚会的民众应佩戴口罩,这不仅是为了防范结核病,也是应对各种传染病的有效屏障。

他强调,一旦发现身体不适或疑似出现症状,应果断取消出行并立即求医,避免在佳节团聚时将病菌带给家乡的亲友。
针对聚会环境,拉夫扎教授提醒,良好的通风是阻断传播的关键,聚会期间应尽可能保持门窗开启。与此同时,大马私人执业医生联合会(FPMPAM)主席山姆加纳丹也指出,及早筛查是防控的核心。
他高度肯定了移工体检机构(Fomema)在筛查工作中的贡献,并呼吁政府应确保国内所有人口,包括非公民在内,都能获得平等的筛查与治疗机会,以堵住公共卫生的安全漏洞。
值得关注的是,并非所有结核病都具备传染性。山姆加纳丹医生科普道,传播风险主要源自活动性肺结核,病菌通过空气飞沫传播;而肺外结核(如影响骨骼、淋巴或脊柱)通常不涉及呼吸道,因此不具传染性。他呼吁公众科学理性看待结核病,避免对患者产生不必要的恐慌或污名化,但必须确保确诊者完成整个疗程,严禁中途停药,以免产生更具威胁的“耐药性”结核病。
文章未完,點擊下一頁繼續
下一頁